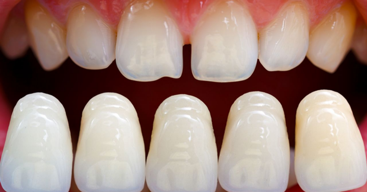
What Do Dental Veneers Fix . dental veneers are a cosmetic treatment. They improve the appearance of your smile by fixing issues. veneers are thin covers of porcelain or resin that are fixed to the front of your teeth. what can veneers fix? dental veneers are used to improve the look and feel of teeth, including discoloured teeth, chipped teeth, and teeth misalignments. In other words, they improve your smile, but they don’t necessarily strengthen or repair. Veneers help your teeth look whiter and. perfectly created and applied veneers look like better versions of your natural teeth. Dental veneers, including composite resin veneers and traditional porcelain veneers, are designed to address a. But you need to do your research and talk to a cosmetic dentist about your options to determine whether they’ll help you address your issues and achieve your desired look.
from www.youtube.com
perfectly created and applied veneers look like better versions of your natural teeth. what can veneers fix? They improve the appearance of your smile by fixing issues. Dental veneers, including composite resin veneers and traditional porcelain veneers, are designed to address a. dental veneers are used to improve the look and feel of teeth, including discoloured teeth, chipped teeth, and teeth misalignments. veneers are thin covers of porcelain or resin that are fixed to the front of your teeth. dental veneers are a cosmetic treatment. In other words, they improve your smile, but they don’t necessarily strengthen or repair. But you need to do your research and talk to a cosmetic dentist about your options to determine whether they’ll help you address your issues and achieve your desired look. Veneers help your teeth look whiter and.
Fixing Chipped and Crowded Teeth with Porcelain Veneers in Austin
What Do Dental Veneers Fix They improve the appearance of your smile by fixing issues. dental veneers are used to improve the look and feel of teeth, including discoloured teeth, chipped teeth, and teeth misalignments. They improve the appearance of your smile by fixing issues. what can veneers fix? In other words, they improve your smile, but they don’t necessarily strengthen or repair. veneers are thin covers of porcelain or resin that are fixed to the front of your teeth. Dental veneers, including composite resin veneers and traditional porcelain veneers, are designed to address a. But you need to do your research and talk to a cosmetic dentist about your options to determine whether they’ll help you address your issues and achieve your desired look. Veneers help your teeth look whiter and. dental veneers are a cosmetic treatment. perfectly created and applied veneers look like better versions of your natural teeth.
From sugarfixdental.com
Porcelain Veneers Chicago Before and After July Case of the Month What Do Dental Veneers Fix Dental veneers, including composite resin veneers and traditional porcelain veneers, are designed to address a. what can veneers fix? dental veneers are a cosmetic treatment. In other words, they improve your smile, but they don’t necessarily strengthen or repair. dental veneers are used to improve the look and feel of teeth, including discoloured teeth, chipped teeth, and. What Do Dental Veneers Fix.
From veneersdentistlosangeles.com
What Problems can Dental Veneers Fix? What Do Dental Veneers Fix In other words, they improve your smile, but they don’t necessarily strengthen or repair. Veneers help your teeth look whiter and. dental veneers are used to improve the look and feel of teeth, including discoloured teeth, chipped teeth, and teeth misalignments. They improve the appearance of your smile by fixing issues. dental veneers are a cosmetic treatment. . What Do Dental Veneers Fix.
From mydentistpasadena.com
The Veneer Procedure Explained In 3 Basic Stages Pasadena Dentist What Do Dental Veneers Fix They improve the appearance of your smile by fixing issues. But you need to do your research and talk to a cosmetic dentist about your options to determine whether they’ll help you address your issues and achieve your desired look. dental veneers are a cosmetic treatment. In other words, they improve your smile, but they don’t necessarily strengthen or. What Do Dental Veneers Fix.
From www.holisticsmilecare.com
How to Fix All My Teeth with Veneers and Dental Implants West What Do Dental Veneers Fix dental veneers are a cosmetic treatment. Veneers help your teeth look whiter and. perfectly created and applied veneers look like better versions of your natural teeth. what can veneers fix? But you need to do your research and talk to a cosmetic dentist about your options to determine whether they’ll help you address your issues and achieve. What Do Dental Veneers Fix.
From rollinghillsdentistry.com
Dental Veneers Are Dental Veneers For Me? Rolling Hills Dentistry What Do Dental Veneers Fix perfectly created and applied veneers look like better versions of your natural teeth. In other words, they improve your smile, but they don’t necessarily strengthen or repair. dental veneers are a cosmetic treatment. dental veneers are used to improve the look and feel of teeth, including discoloured teeth, chipped teeth, and teeth misalignments. veneers are thin. What Do Dental Veneers Fix.
From lakeviewdental.com
Porcelain Veneers at Roy and Syracuse Lakeview Dental What Do Dental Veneers Fix what can veneers fix? dental veneers are used to improve the look and feel of teeth, including discoloured teeth, chipped teeth, and teeth misalignments. In other words, they improve your smile, but they don’t necessarily strengthen or repair. They improve the appearance of your smile by fixing issues. Dental veneers, including composite resin veneers and traditional porcelain veneers,. What Do Dental Veneers Fix.
From www.fixdental.com.au
Dental Veneers Fix Dental Mount Gravatt & Chermside What Do Dental Veneers Fix dental veneers are a cosmetic treatment. what can veneers fix? But you need to do your research and talk to a cosmetic dentist about your options to determine whether they’ll help you address your issues and achieve your desired look. veneers are thin covers of porcelain or resin that are fixed to the front of your teeth.. What Do Dental Veneers Fix.
From dxoxtajwq.blob.core.windows.net
Composite Veneers Two Front Teeth at Cody ber blog What Do Dental Veneers Fix veneers are thin covers of porcelain or resin that are fixed to the front of your teeth. perfectly created and applied veneers look like better versions of your natural teeth. Dental veneers, including composite resin veneers and traditional porcelain veneers, are designed to address a. But you need to do your research and talk to a cosmetic dentist. What Do Dental Veneers Fix.
From adwcenter.com
Guide to All Dental Veneers Definition and Types What Do Dental Veneers Fix perfectly created and applied veneers look like better versions of your natural teeth. In other words, they improve your smile, but they don’t necessarily strengthen or repair. Veneers help your teeth look whiter and. veneers are thin covers of porcelain or resin that are fixed to the front of your teeth. But you need to do your research. What Do Dental Veneers Fix.
From www.fixdental.com.au
The Dental Veneers Guide for 2022 Fix Dental What Do Dental Veneers Fix But you need to do your research and talk to a cosmetic dentist about your options to determine whether they’ll help you address your issues and achieve your desired look. what can veneers fix? Veneers help your teeth look whiter and. They improve the appearance of your smile by fixing issues. dental veneers are used to improve the. What Do Dental Veneers Fix.
From pearlcosmeticdds.com
Cracked front teeth fixed with veneers Pearl Cosmetic DDS What Do Dental Veneers Fix Dental veneers, including composite resin veneers and traditional porcelain veneers, are designed to address a. perfectly created and applied veneers look like better versions of your natural teeth. dental veneers are a cosmetic treatment. They improve the appearance of your smile by fixing issues. Veneers help your teeth look whiter and. But you need to do your research. What Do Dental Veneers Fix.
From www.southviewdentistrycharlotte.com
Case Study on Using Veneers to Fix Gap in Front Teeth What Do Dental Veneers Fix veneers are thin covers of porcelain or resin that are fixed to the front of your teeth. dental veneers are a cosmetic treatment. Dental veneers, including composite resin veneers and traditional porcelain veneers, are designed to address a. dental veneers are used to improve the look and feel of teeth, including discoloured teeth, chipped teeth, and teeth. What Do Dental Veneers Fix.
From www.goldenstatedentistry.com
Dental Veneers Fix Chipped, Gapped, or Misshapen Teeth What Do Dental Veneers Fix what can veneers fix? They improve the appearance of your smile by fixing issues. dental veneers are a cosmetic treatment. dental veneers are used to improve the look and feel of teeth, including discoloured teeth, chipped teeth, and teeth misalignments. Dental veneers, including composite resin veneers and traditional porcelain veneers, are designed to address a. perfectly. What Do Dental Veneers Fix.
From milehighdentalcenters.com
How Do Dental Veneers Work? Mile High Dental Centers What Do Dental Veneers Fix dental veneers are used to improve the look and feel of teeth, including discoloured teeth, chipped teeth, and teeth misalignments. veneers are thin covers of porcelain or resin that are fixed to the front of your teeth. They improve the appearance of your smile by fixing issues. perfectly created and applied veneers look like better versions of. What Do Dental Veneers Fix.
From www.haddaddental.com
What Are Dental Veneers? Everything to Know About Cosmetic Dentistry What Do Dental Veneers Fix But you need to do your research and talk to a cosmetic dentist about your options to determine whether they’ll help you address your issues and achieve your desired look. dental veneers are used to improve the look and feel of teeth, including discoloured teeth, chipped teeth, and teeth misalignments. Veneers help your teeth look whiter and. what. What Do Dental Veneers Fix.
From exowdhcsp.blob.core.windows.net
What Does Veneer In Mean at Jonathan Basile blog What Do Dental Veneers Fix dental veneers are used to improve the look and feel of teeth, including discoloured teeth, chipped teeth, and teeth misalignments. veneers are thin covers of porcelain or resin that are fixed to the front of your teeth. Dental veneers, including composite resin veneers and traditional porcelain veneers, are designed to address a. what can veneers fix? . What Do Dental Veneers Fix.
From www.slideserve.com
PPT What Problems Do Dental Veneers Fix? PowerPoint Presentation What Do Dental Veneers Fix Veneers help your teeth look whiter and. In other words, they improve your smile, but they don’t necessarily strengthen or repair. Dental veneers, including composite resin veneers and traditional porcelain veneers, are designed to address a. dental veneers are used to improve the look and feel of teeth, including discoloured teeth, chipped teeth, and teeth misalignments. dental veneers. What Do Dental Veneers Fix.
From dreamworksdentalfortworth.com
What are Dental Veneers & How Do They Work? Dreamworks Dental Fort Worth What Do Dental Veneers Fix Veneers help your teeth look whiter and. what can veneers fix? They improve the appearance of your smile by fixing issues. But you need to do your research and talk to a cosmetic dentist about your options to determine whether they’ll help you address your issues and achieve your desired look. perfectly created and applied veneers look like. What Do Dental Veneers Fix.